History: 44 year-old female presents with a persistent tongue lesion x 4 months
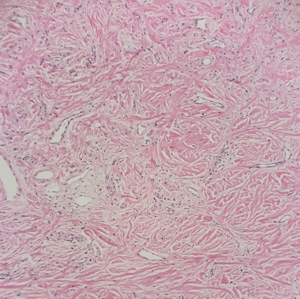
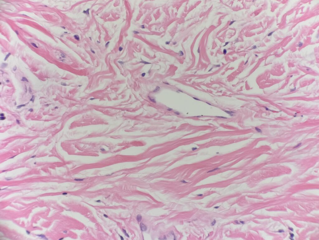
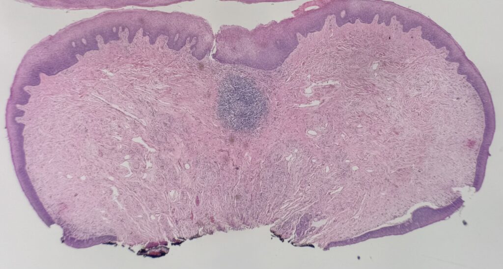
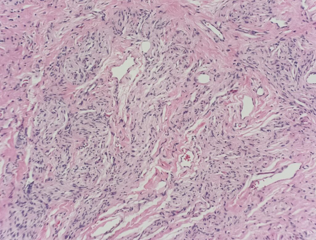
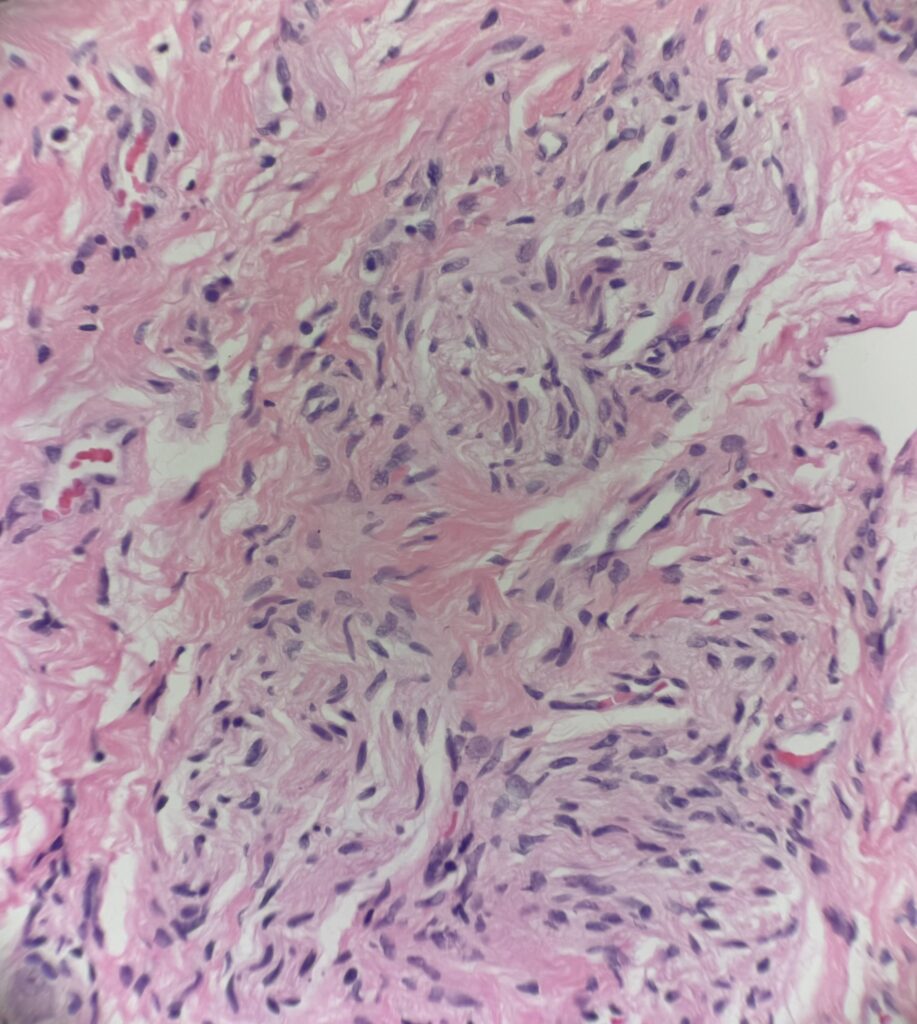
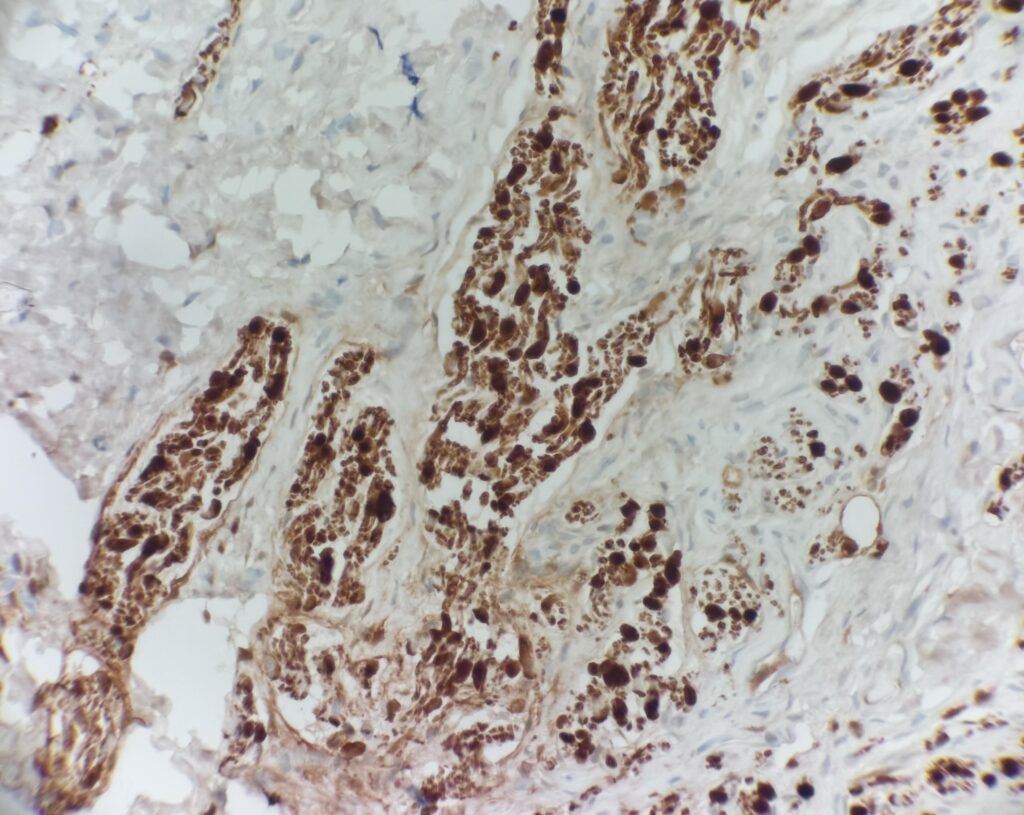
Histology:







Diagnosis: Irritation fibroma and traumatic neuroma.
Irritation fibroma – Benign reactive fibroblast proliferation that usually affects the lateral tongue and buccal mucosa. Histologic sections show a nodular, non-encapsulated proliferation of fibrous tissue with dense collagen bundles.
Traumatic neuroma – Benign proliferation of nerve bundles. Histologic sections show haphazard proliferation of neural structures at the base of the lesion (highlighted on S-100 stain).
Both of these lesions are related to trauma. In this case, likely a bite injury during chewing.